原创区
今日 : 0 主题 : 3413 收藏 : 217 排名 : 18
新窗
都是日常手机拍摄
苏浩
卋罖
接受建议和批评
杨帅~
王辉华
刘丽君
小喽啰 [video=https://magimg.kq366.cn/pic/20211209/1639049834112581323.jpg]https://magimg.kq366.cn/v ...
龙少爷
车针雕刻石膏牙
刘子豪
大伙乐呵乐呵 [video=https://magimg.kq366.cn/pic/20211118/1637229663514393_464.jpg]https://magimg.kq3 ...
陳景翰
画牙
童新
患者70多岁,旧义齿戴约15年,咬合高度比息止合位高了约:8mm,上下嘴唇无法合闭,无法行使咀嚼功能。(前 ...
余文德
美玉的牙记
欢迎各位大佬点评
张信澎_OSLR
学习与进步
根据医生的分析设计制作出合理的美学修复 从“医技”水平的提升开始。
郭学友玫瑰徽章
小小牙匠
学习记录
Hunter
小友
胡振武
日常所画:素描牙体形态
余红妹33
学无止境
贴面,请各位老师指教
武冰辰
[video=https://magimg.kq366.cn/pic/20220424/1650759472813149_931.jpg]https://magimg.kq366.cn/video/2 ...
黄泉章
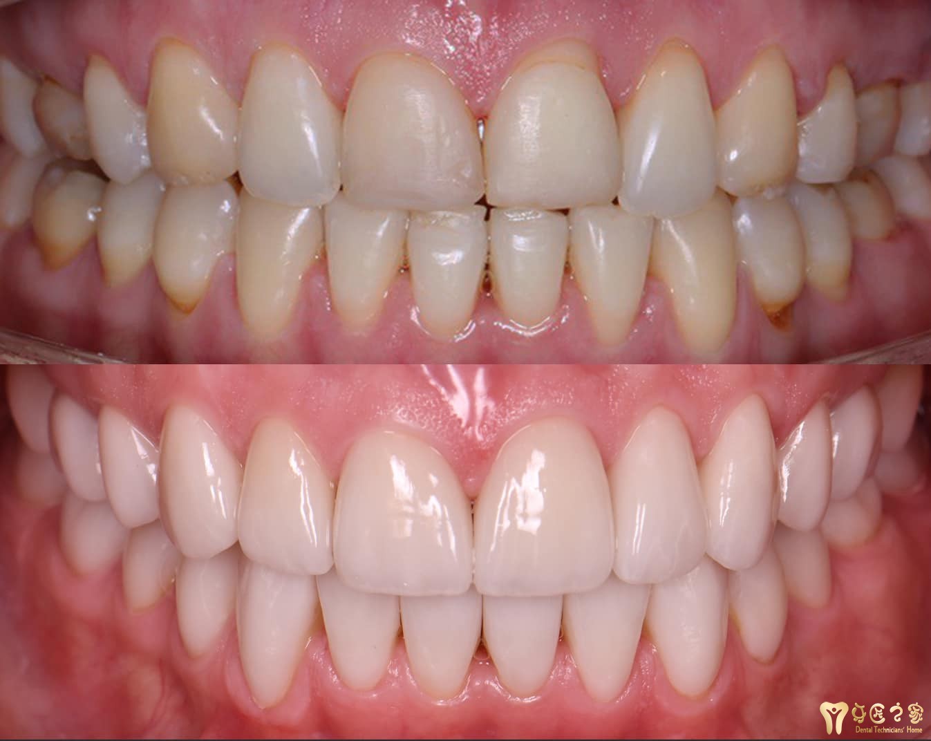
口内备完牙的状态 比色照片 试戴效果 酸时过程 最终粘结结果
李书涵1984
无牙颌的初印模“解剖标志”
疯牙-v-大侠
上瓷yangrhui
杨日辉
刘梦月
牙园罗清华
日常工作件和部分练习牙。
茶乃通神之物
杨娟77
山东李会文
张明玮
姜宏宇
[video=https://magimg.kq366.cn/pic/20220814/1660465866266952_254.jpg]https://magimg.kq366.cn/video/2 ...
本人的第3套数据库
悦动
雕了3到3
粤C李揚
瘦肉
黄成波
吴耀平
种植全口设计 求指教
cad设计师
李俊
全锆16-25修复设计
李俊文
废弃软锆雕刻染色
止境
放射导板详细解析,今天作者来告诉你 [video=https://magimg.kq366.cn/pic/20220707/16571828623583_145.jp ...
Jonas
即刻负重
牙科技师曲淑通
种植
一介布衣
休闲娱乐 第一弹
刘华
漫画
一周热门
牙医病例区
分享区
休闲区
热门作者
发帖数:22009 主题数:21677
发帖数:54 主题数:11
发帖数:3532 主题数:315
发帖数:12419 主题数:11632
发帖数:3 主题数:1
发帖数:2629 主题数:7
让你的牙科工作更出彩!
关注牙匠之家
回到顶部
寻找帮助:帮助中心
客 服QQ:77357739
联系电话:17722454920
工作时间:周一至周五 9:00-18:00
官方微博
官方微信
牙匠之家
意见反馈